What should I do about a single miss aligned tooth

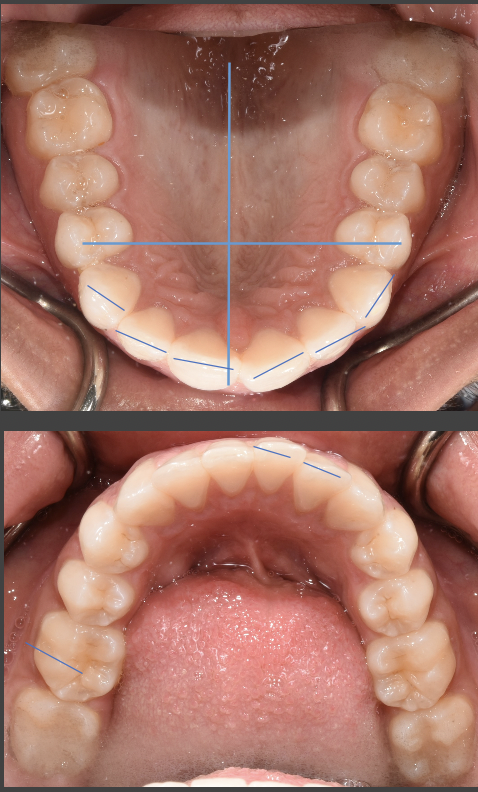
Okay so, to explain this I have over crowding in my bottom front set of teeth. Whats happened is you know you have the front 4 teeth, one of the middle teeth to be exact the right middle one has been pushed back into my mouth behind the other 3. Thus has moved my center line of. So my question is, to fix this would it be better to apply pressure to move it forward using my tongue? Or if that doesn't work and is a myth what about using a standard aligner. You can get them online they're like a gum shield. For extra info, the wisdom teeth that came through recently is what's caused the overcrowding to begin with.

Do you want to answer this question? Login or register now to answer this question.

No profile picture

Answer: Myth, sort of

By Eric Mann

Hi, I had the same issue as you at your age, same big wisdom teeth pushing everything around, I am now 37 and only getting this fixed now lol.
I did the occasional pushing it with my tongue over the last 20 years but all it did was push the tooth next to it forward, not by a lot, but it just made things a little bit worse.

I am lucky in my situation in a sense, I had an infected root canal on the bottom row I decided to have removed, tooth #20, I finally decided to spend the money on braces and after 18 ish weeks with braces (I got the Invisalign ones for comfort, convinience and speed) the gap is already half closed and my smiles don't look ridiculous.

An aligner might work for now, especially if it doesn't stick back that much, but could possibly cause issues with your jaws if the wisdom teeth are kept too far back as a consequence, or create an overbite/underbite on one of the sides eventually or maybe squeeze your teeth to tightly together. Or maybe, everything works out perfectly, hard to tell.
Much better to find a dentist or imo preferably a holistic dentist to see what they recommend before you self treat, at least that way you can make a more informed decision.
If a treatment they recommend seems expensive now, trust me, you will spend FAR more if you wait a couple of decades like I did. I don't say that for you to rush a treatment they recommend, you still have plenty of time, just don't want 20 years like i did.

More Questions from Dental Braces

How to remove braces glue from teeth?

how can I get the braces glue off I tried everything?

Almost-brodie bite with SFOT. Looking for provider recommendations

I went to my original orthodontist really wanting a wider smile and a fix to my overbite {content removed} sleep apnea. He proposed removing two premolars in order to prepare for double jaw surgery. I had the two lower premolars removed in addition...

Extraction During Braces for Scissor Bite Molar

Hello, i have a simple question regarding braces, over crowding etc. im a 15 year old girl with braces that have been on for 2 years, i have a scissor bite due to a severe crowding case and i have big teeth, i also have an overbite but its not too...

Michelle rabbit braces

Do I need to wear my retainer for life?

I have had my braces off for 10 years and have been pretty responsible about wearing my retainer. I am tired of it and want to put this part of life behind me. My teeth seem to be staying put. Can I simply stop using it and check to see if the...

I stained my saphire braces..please help

Hi. I got saphire braces 2 weeks ago without any elastic ligatures. Because I am a smoker, the brackets became a visible yellow which doesn't come out when I brush my teeth. Please help, I chose the saphire because I knew it wouldn't get stained but...

retainer doesn't fit

Retainer doesn't fit one tooth

I have a permanent and an overnight retainer that I wear religiously. However my teeth still shift. From 0 {content removed} 21 I have had severe lung issues that made me swallow and use my mouth weirdly just so I could breathe. I can not unlearn...

Orthodontic Abroad

Greetings, I hope you are doing well, I am Yosra Gholami, a Ph.D. student at the University of Pittsburgh, School of Medicine. Likewise, I got dental braces in Iran on April 17, 2023, and the wires have been changed three times so far. My question...

My right side molars on top and bottom are lower than the left side. Is this fixable?

My right side molars on both top and bottom are lower than the left side which or placed correctly. I’ve been in braces for over two years now and have not seen any correction in this, despite it being my main concern. My right side profile looks...

Implant bleeding during orthodontic treatment

Hello, I am an adult who had braces as a teen and an implant placed prior to that. The implant is the maxillary right lateral incisor on the top. Now at 40yo I have braces again on my bottom teeth as they have lost their alignment. The braces on...

What should I do about a single miss aligned tooth

Okay so, to explain this I have over crowding in my bottom front set of teeth. Whats happened is you know you have the front 4 teeth, one of the middle teeth to be exact the right middle one has been pushed back into my mouth behind the other 3....