Is this tooth too long?

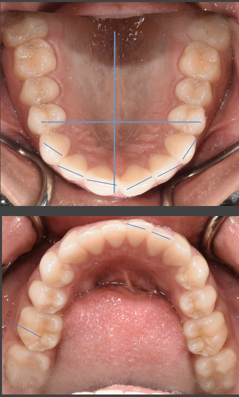
I’ve had braces for four years and even though I was only supposed to have them for two years. My orthodontist has been trying to fix the top the front top teeth for a year now but a lot of my other teeth need to be fixed too. I was wondering if my premolar should be shorter because it looks really weird being as long as it is compared to the other teeth. Also maybe my canine is too long too. I was wondering if you could let me know if my teeth were too long. I tried asking my orthodontist the last time and I don’t think he understood me.

Do you want to answer this question? Login or register now to answer this question.

No profile picture

Answer: Height of teeth

By Sarah h
Dental Professional

Your canine teeth are naturally longer that the adjacent teeth, however this is not true for every person.  No two teeth or mouths are exactly alike.  Your teeth erupt into the position in which they are in occlusion with the opposing tooth/teeth.  It is hard to see your maxillary teeth in the picture provided, however I can assume that your upper premolar, appears shorter that the teeth next to it.  WHen you close your mouth, these two teeth fit together like two puzzle pieces.  If one was too long, the other teeth in your mouth wouldn't close completely.  If you were to shorten that premolar, the opposing (upper) tooth would need to be lengthened.  Your teeth fit together, the way they are intended, however they can be aligned with orthodontics.  If the length of the tooth is bothersome, ask your orthodontist if it can be intruded to appear shorter in the mouth. 

More Questions from Dental Braces

How to remove braces glue from teeth?

how can I get the braces glue off I tried everything?

Almost-brodie bite with SFOT. Looking for provider recommendations

I went to my original orthodontist really wanting a wider smile and a fix to my overbite {content removed} sleep apnea. He proposed removing two premolars in order to prepare for double jaw surgery. I had the two lower premolars removed in addition...

Extraction During Braces for Scissor Bite Molar

Hello, i have a simple question regarding braces, over crowding etc. im a 15 year old girl with braces that have been on for 2 years, i have a scissor bite due to a severe crowding case and i have big teeth, i also have an overbite but its not too...

Michelle rabbit braces

Do I need to wear my retainer for life?

I have had my braces off for 10 years and have been pretty responsible about wearing my retainer. I am tired of it and want to put this part of life behind me. My teeth seem to be staying put. Can I simply stop using it and check to see if the...

I stained my saphire braces..please help

Hi. I got saphire braces 2 weeks ago without any elastic ligatures. Because I am a smoker, the brackets became a visible yellow which doesn't come out when I brush my teeth. Please help, I chose the saphire because I knew it wouldn't get stained but...

retainer doesn't fit

Retainer doesn't fit one tooth

I have a permanent and an overnight retainer that I wear religiously. However my teeth still shift. From 0 {content removed} 21 I have had severe lung issues that made me swallow and use my mouth weirdly just so I could breathe. I can not unlearn...

Orthodontic Abroad

Greetings, I hope you are doing well, I am Yosra Gholami, a Ph.D. student at the University of Pittsburgh, School of Medicine. Likewise, I got dental braces in Iran on April 17, 2023, and the wires have been changed three times so far. My question...

My right side molars on top and bottom are lower than the left side. Is this fixable?

My right side molars on both top and bottom are lower than the left side which or placed correctly. I’ve been in braces for over two years now and have not seen any correction in this, despite it being my main concern. My right side profile looks...

Implant bleeding during orthodontic treatment

Hello, I am an adult who had braces as a teen and an implant placed prior to that. The implant is the maxillary right lateral incisor on the top. Now at 40yo I have braces again on my bottom teeth as they have lost their alignment. The braces on...

What should I do about a single miss aligned tooth

Okay so, to explain this I have over crowding in my bottom front set of teeth. Whats happened is you know you have the front 4 teeth, one of the middle teeth to be exact the right middle one has been pushed back into my mouth behind the other 3....