I can't afford a dentist, what are my options?

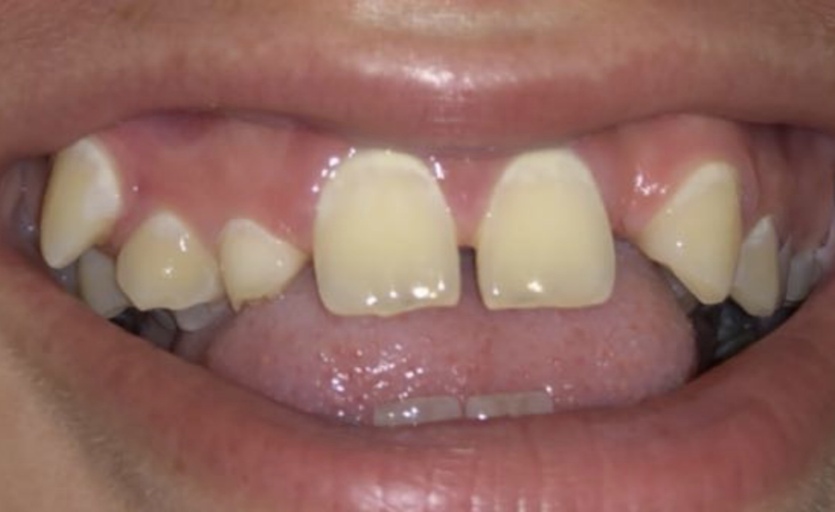
I've recently went to the dentist for some problems I have been having. I was in the military, USMC, and I had some root canals done while I was in there. Well, I never got root canals put on them so all the feelings came out, and all the teeth broke off. There is a total of four broken teeth that I have and it only has little tiny pieces of tooth left which cause my gums to bleed in those areas. I haven't had the money to go to the dentist and still don't. This last time I went, they said that they were looking at about 13,000 dollars worth of work. I got so overwhelmed and felt so defeated that I began to cry and walked out of there. It's gotten so bad that I think it has started to cause health problems. Some of the things they said I needed are crowns, root canals, and bridges. I also am terrified that I might have mouth cancer, but when I saw the dentists this last month, I didn't mention it to him that I had this fear. I am a male and only 30 yrs old. Is there anything that you can say or do to help me and also to help put my mind at ease? I feel like my mouth will never get fixed because I can't afford it. I have a wife and six kids and I'm the only one that is working right now. Is there anything that I can do? I've also tried to get financing and I wasn't able to get approved.

Do you want to answer this question? Login or register now to answer this question.

No profile picture

Answer: Options

By

I apologize for the experience that you had.  I understand why you are feeling so overwhelmed especially when you are providing for a family.  Do not get discouraged or feel that you will never be able to have your dental treatment completed.  You need to find a provider that is welcoming and works with patients that have dental fears.  Set up a consultation and explain to the dentist prior to your oral examination that you understand you need quite a bit of treatment, yet you do not want to be overwhelmed.  This will allow the dentist to create a treatment plan that works in phases.  Your condition didnt happen overnight, so you cant expect to restore it overnight,  It may take months, or even a year or more.  Start in one area and complete one thing at a time.  Not only does this break up the treatment cost, but it also helps to ease the anxiety you are having.  You need to have the oral cancer situation addressed immediately.  Your family needs you healthy and I am sure they will be nothing but supportive of you during this time.  Early detection of oral cancer is mandatory. 

Also, check with your local government office or VA office, often times they have a dental provider that is available to you.  They may offer services at a lower cost to the service men/woman that are no longer active duty.  I wish you all the best and hope you give another dentist the opportunity to give you the smile you deserve so much. 

More Questions from Bridges

Missing Canines

Hi there, my daughter has had a missing canine tooth for 4 years now. This has caused a gap in the front teeth. The other canine is a baby, with no adult tooth to grow in. The space where the missing canine tooth is not big enough for an implant....

Fix Crooked Teeth

hi im looking for the cheapest way to straighten my top teeth i have straight front 2 teeth but my teeth ever side are behind my front 2 teeth and my fang teeth are also out of line have attached photos i am happy and willing to have teeth removed...

What is the best prosthesis for speech purposes?

This question is asked on behalf of speech for actors/ presenters/ performers/ and public speakers who are dealing with loss of upper right 2nd premolars. Can you please rank the best prosthesis based on comfortable tongue movement for articulate...

Maryland Bridge replacement

I have had a gold Maryland bridge for 30 years, teeth 29-31. 31 is the full crown. I am having sensitivity in and around 31 and cannot chew on it. What treatment options do I have? It seems such a waste to remove the entire bridge. I am 62 and...

I think mistakes were made with my bridge; now it broke and more mistakes were made with the repair?

Hello, I recently had a bridge break and the dentist elected to repair it instead of replace it. I have two major concerns... The first involves the bridge breaking. One of the end teeth on the bridge chipped off at the top edge after my latest...

Fractured tooth with gum growth

Hi I am have had two root canal treatments of my second molar tooth next to wisdom tooth and i had a bridge on it. Recently i have had chips of tooth breaking off from the hole created on the crown for the second root canal treatment and today the...

Will a bridge hold on the front

I'm miss four teeth on the right side of my mouth (the front tooth is still there). My doctor said I need 4 implants, which I can't afford. I went for a second a opinion. He said that I can get a bridge, because the two end teeth are there. One...

Should I be in this much pain after a bridge placed?

I am 30 years old, no health problems. I have had several fillings throughout the last several years d/t not taking care of my teeth as a kid. I also had invisalign for 2 year which I finished last year. I wear a retainer at night. I have a high...

Which is better to replace a bridge now over 3 teeth- a longer bridge or 2 implants.

The teeth referred to in the title question are in the upper left portion of my mouth on the side but towards the front. I have been told that I need either a long bridge or 2 implants to replace a bridge that has to be removed in order to...

What is an acceptable range for a gap under the pontic on a bridge?

I recently had a bridge placed on my upper jaw and the gap under the pontic is large enough to pass a toothpick through easily(food constantly gets trapped there), it seems excessive to me, what is the normal range of gap under the bridge? Another...