Need Braces?

Does it look like my daughter needs braces?

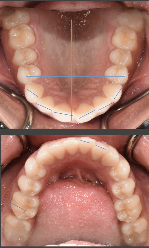
My daughter has some spacing in her teeth. Some misshaped teeth and her top and bottom row doesn’t match up and I wanted to know from the looks does it look like she needs braces? She also bites down on her jaw alot

Do you want to answer this question? Login or register now to answer this question.

No profile picture

Answer: Orthodontic Consultation

By BracesInfo.com Expert 10

Its hard to diagnose from the picture alone, with her mouth open and not in centric (closed and relaxed) occlusion. It appears from the picture that she has most or all of her permanent dentition. This is the perfect time to schedule a complimentary consultation with a preferred orthodontist in your area. Its not clear what you mean by "biting down on her jaw a lot", however I am assuming it means her bite is different than yours and its possible that it feels uncomfortable to her. Spacing and small or misshaped teeth are cosmetic, however if she is in malocclusion, these can all be addressed with orthodontics. Most orthodontists will evaluate your daughter at little to no cost to you. It is always a good idea to get more than one opinion prior to making a decision with treatment.

More Questions from Dental Braces

How to remove braces glue from teeth?

how can I get the braces glue off I tried everything?

Almost-brodie bite with SFOT. Looking for provider recommendations

I went to my original orthodontist really wanting a wider smile and a fix to my overbite {content removed} sleep apnea. He proposed removing two premolars in order to prepare for double jaw surgery. I had the two lower premolars removed in addition...

Extraction During Braces for Scissor Bite Molar

Hello, i have a simple question regarding braces, over crowding etc. im a 15 year old girl with braces that have been on for 2 years, i have a scissor bite due to a severe crowding case and i have big teeth, i also have an overbite but its not too...

Michelle rabbit braces

Do I need to wear my retainer for life?

I have had my braces off for 10 years and have been pretty responsible about wearing my retainer. I am tired of it and want to put this part of life behind me. My teeth seem to be staying put. Can I simply stop using it and check to see if the...

I stained my saphire braces..please help

Hi. I got saphire braces 2 weeks ago without any elastic ligatures. Because I am a smoker, the brackets became a visible yellow which doesn't come out when I brush my teeth. Please help, I chose the saphire because I knew it wouldn't get stained but...

retainer doesn't fit

Retainer doesn't fit one tooth

I have a permanent and an overnight retainer that I wear religiously. However my teeth still shift. From 0 {content removed} 21 I have had severe lung issues that made me swallow and use my mouth weirdly just so I could breathe. I can not unlearn...

Orthodontic Abroad

Greetings, I hope you are doing well, I am Yosra Gholami, a Ph.D. student at the University of Pittsburgh, School of Medicine. Likewise, I got dental braces in Iran on April 17, 2023, and the wires have been changed three times so far. My question...

My right side molars on top and bottom are lower than the left side. Is this fixable?

My right side molars on both top and bottom are lower than the left side which or placed correctly. I’ve been in braces for over two years now and have not seen any correction in this, despite it being my main concern. My right side profile looks...

Implant bleeding during orthodontic treatment

Hello, I am an adult who had braces as a teen and an implant placed prior to that. The implant is the maxillary right lateral incisor on the top. Now at 40yo I have braces again on my bottom teeth as they have lost their alignment. The braces on...

What should I do about a single miss aligned tooth

Okay so, to explain this I have over crowding in my bottom front set of teeth. Whats happened is you know you have the front 4 teeth, one of the middle teeth to be exact the right middle one has been pushed back into my mouth behind the other 3....