Can You Get Braces While Missing A Tooth?
i was wondering, if you have missing tooth can you be able to have brace's?
Do you want to answer this question? Login or register now to answer this question.

Answer: Yes, If You Are Missing A Tooth You Can Still Receive Orthodontic Treatment
By
If you are missing a tooth you can still recieve Orthodontic Treatment. Orthodontists are experienced and familar with a variety of cases including patients who have missing teeth. The Orthodontist will explain exactly how and what they will do about the missing tooth during your treatment. In some cases people who are missing teeth generally want implants after Orthodontic Treatment, so depending on your personal case the Orthodontist may have to make more space for the implant or simply hold the space as is for the implant. As far as your other aspects of treatment including moving teeth, space closing or bite alignment the Orthodontist will work around the missing tooth. The Orthodontist uses various techniques to make a space bigger for an implant, for example they may use what is called an open coil which acts as a spring to slowly create a bigger space for the implant. In the case of keeping the space of the missing tooth exact for the implant they may use what is called a closed coil that acts as a barrier to hold the space in place while moving other teeth around it. Usually your Orthodontist will refer you to a Periodontist in the begining of your treatment, a Periodontist is a doctor that specializes in dental implants. Throughout your treatment your Orthodontist will communicate with the Periodontist to make sure your spaces where you are missing teeth are small enough or large enough for implants. So don't worry if You have missing teeth you are still able to recieve Orthodontic Treatment.
More Questions from Bridges

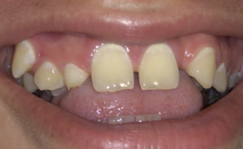
Missing Canines
Hi there, my daughter has had a missing canine tooth for 4 years now. This has caused a gap in the front teeth. The other canine is a baby, with no adult tooth to grow in. The space where the missing canine tooth is not big enough for an implant....

Fix Crooked Teeth
hi im looking for the cheapest way to straighten my top teeth i have straight front 2 teeth but my teeth ever side are behind my front 2 teeth and my fang teeth are also out of line have attached photos i am happy and willing to have teeth removed...

What is the best prosthesis for speech purposes?
This question is asked on behalf of speech for actors/ presenters/ performers/ and public speakers who are dealing with loss of upper right 2nd premolars. Can you please rank the best prosthesis based on comfortable tongue movement for articulate...

Maryland Bridge replacement
I have had a gold Maryland bridge for 30 years, teeth 29-31. 31 is the full crown. I am having sensitivity in and around 31 and cannot chew on it. What treatment options do I have? It seems such a waste to remove the entire bridge. I am 62 and...

I think mistakes were made with my bridge; now it broke and more mistakes were made with the repair?
Hello, I recently had a bridge break and the dentist elected to repair it instead of replace it. I have two major concerns... The first involves the bridge breaking. One of the end teeth on the bridge chipped off at the top edge after my latest...

Fractured tooth with gum growth
Hi I am have had two root canal treatments of my second molar tooth next to wisdom tooth and i had a bridge on it. Recently i have had chips of tooth breaking off from the hole created on the crown for the second root canal treatment and today the...

Will a bridge hold on the front
I'm miss four teeth on the right side of my mouth (the front tooth is still there). My doctor said I need 4 implants, which I can't afford. I went for a second a opinion. He said that I can get a bridge, because the two end teeth are there. One...

Should I be in this much pain after a bridge placed?
I am 30 years old, no health problems. I have had several fillings throughout the last several years d/t not taking care of my teeth as a kid. I also had invisalign for 2 year which I finished last year. I wear a retainer at night. I have a high...

Which is better to replace a bridge now over 3 teeth- a longer bridge or 2 implants.
The teeth referred to in the title question are in the upper left portion of my mouth on the side but towards the front. I have been told that I need either a long bridge or 2 implants to replace a bridge that has to be removed in order to...

What is an acceptable range for a gap under the pontic on a bridge?
I recently had a bridge placed on my upper jaw and the gap under the pontic is large enough to pass a toothpick through easily(food constantly gets trapped there), it seems excessive to me, what is the normal range of gap under the bridge? Another...