
Can my issues be fixed by switching orthodontists? 20 months in braces, not satisfied!
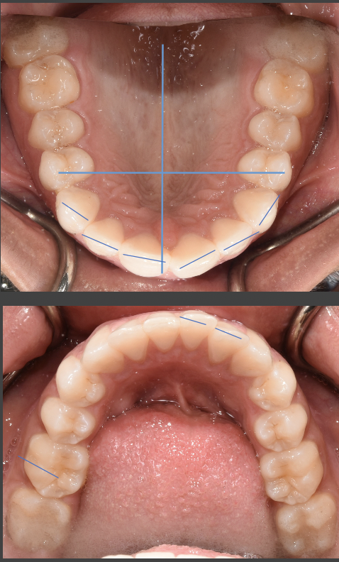
Good Morning, I have had braces for 20 months, but my orthodontist told me I would only need them 3 months! I basically was a relapse case. I had Invisalign in 2007-2008 to close a gap in my front teeth, and a permanent retainer was affixed to the back of my front four teeth to keep the gap closed. My current orthodontist finished my Invisalign case with a Howley retainer and elastics, after I initially had gone to a general dentist to start my Invisalign case. I was very pleased with my smile at the conclusion of my Invisalign case in 2008! In early 2016, my gap re-opened after my permanent retainer broke. It only took around two weeks for the gap to reopen upon the retainer breaking! I went to get the retainer repaired, and the gap had re-opened too wide for my orthodontist to close with finger pressure. Therefore, my orthodontist recommended a Howley retainer to try to remedy the problem. The Howley retainer closed the gap, but the top teeth did not meet well with the bottom teeth, causing malocclusion and 'hitting' of the two rows of teeth. Therefore, traditional metal braces were introduced as a solution. Again, my orthodontist said I would only need 3 months to conclude my braces treatment! It has now been 20 months! My braces treatment started in September 2016. At the three-month mark, I thought my bite was good, and my teeth were looking pretty good. About 5 months into treatment, I noticed there was a space forming in between my two left canine teeth. That caused the left side of my smile not to 'fit' together. It made my smile look uneven. My orthodontist tried to remedy this by making me wear elastics off on and on for over 6 months (between February 2017 - October 2017), but the space did not close as I liked by October 2017. They don't fit together much better now. At this time in October 2017, my orthodontist was talking about doing an impression! As much as I wanted to take my braces off at this time in October, after going 4 times the amount of time I thought I would be in braces (12 months at that time), I knew I would not be pleased with this result. Due to my dissatisfaction, My orthodontist then instituted other elastic configurations to see if this would help, but the desired result still did not happen. I visited other orthodontists for a second opinion on how to close the space better, and they recommended adjusting brackets to put more force on the teeth at better angles to make them fit. I mentioned moving brackets to my orthodontist. However, for some reason, my orthodontist was against moving brackets, always saying "I don't need to do that. I can bend the wire." She insisted that only young orthodontists use the adjusting of brackets as a method, particularly because that is how they were taught, and they aren't familiar with bending wires, as she, an older orthodontist, is familiar. She said that younger orthodontists aren't trained to bend wires now, as she was taught. My orthodontist finally begrudgingly moved the bracket on my top canine higher on the tooth, around early March 2017, after I asked for a third time. I did not want the bracket moved higher, but lower, as I wished to tilt the crown of the tooth more upward. However, my orthodontist did it her way. Her moving the bracket higher caused the top canine to come down in an unsightly fashion, almost at an angle. It also exacerbated the situation, as it made the space between the canines much bigger. It stayed like this over two months inexplicably (this is when I started to get other second opinions), and she just closed the space in late April, with an adjustment. The photo I have posted is how my teeth look now. I wanted to post photos that show change from the beginning until now, but there seems to be one-photo limit on this site. In the current photo, I still don't think my left canines meet well, and the top canine still comes down at a less than aesthetic angle and sort of just overlaps the bottom canine, rather than 'fitting' it. Another issue that makes my smile look uneven is that my left and right incisors are not level with each other. You can see that in the photo. My orthodontist has not been able to successfully address this either. She has tried to use a powerchain to bring the bottom teeth inwards, so the top teeth can come down more, and thus the left incisor can be moved down, but the powerchain has not worked. To sum up, my orthodontist's 'bending of the wires' has not moved my teeth into the desired position. It's really as if there has been hardly any real noticeable movement from February 2017 to now May 2018. I would think from all of that time to perfect, my teeth would look amazing now, but they don't. If you look at my photo, the spaces mentioned above make the left side of my teeth look a little jagged and 'open'. The right side of my smile is well spaced, and 'closed' from the front. What I mean by 'closed' is that you only see white teeth connected, and no spaces or fault lines. However, there are still spaces in between teeth on the left side, namely between the left incisor and the left front tooth at their bases, and the left canines are not meeting flush, but overlapping moreso. I simply want the left side of my smile to match the right side of my smile, particularly from the front. I must note that from my side profile, there are still some fault lines from the side, where teeth don't seem to meet the best way as well. However, I could be willing to deal with this if the teeth can be fit better from the front. My orthodontist doesn't seem to have the ability to move brackets strategically and does not seem flexible enough for me as a patient. It feels like every time I have an appointment, she is just doing trial and error, with no real conclusive plan on how to solve my problem. This has been going on for over a year in regards what I felt were easy problems to solve! I am thinking of changing to an orthodontist whom I consulted for a second opinion, whom uses more advanced techniques than my current orthodontist. I am beyond frustrated and fatigued of wearing braces. I am an older man, at 38 years old, and only agreed to get braces because I was told my initial issues (closing a gap between my two front teeth, and re-positioning my bottom teeth) would only take 3 months to treat, and there were no other issues. My orthodontist has non-urgently taken nearly 8 times that amount of time, only to leave me with dissatisfaction. I would like to go to another orthodontist. However, I don't want to pay out more money if this is an issue that can't be remedied any more than it already has. What do you recommend from looking at my picture? The other orthodontist whom I consulted for a second opinion, recommended wearing 'inside-out' rubber bands to 'tuck' the top-left canine in better and have it meet better with the bottom, and then proceed with bracket adjustment to finish the space closure for a better fit. To allow the left incisor to come down more to be level with the right incisor, they recommended potentially doing interproximal reduction on the lower four teeth to create more room to angle them inwards, which would allow the top row to come down more and look more even with the bottom (so my smile would look more even overall). Thus, the left incisor could be brought down more and and be positioned level with the right one, without malocclusion and hitting on the bottom teeth, which has been a problem as well. She said the interproximal reduction would also allow the top two front teeth to rest better on the bottom teeth and not hit too hard, which would help my gap stay closed better than the current position would. This would help avoid a second relapse. Do you think these methods and suggestions from the second orthodontist could work to fix my issue(s)?
No answers so far.
Do you want to answer this question? Login or register now to answer this question.
More Questions from Dental Braces

How to remove braces glue from teeth?
how can I get the braces glue off I tried everything?

Almost-brodie bite with SFOT. Looking for provider recommendations
I went to my original orthodontist really wanting a wider smile and a fix to my overbite {content removed} sleep apnea. He proposed removing two premolars in order to prepare for double jaw surgery. I had the two lower premolars removed in addition...

Extraction During Braces for Scissor Bite Molar
Hello, i have a simple question regarding braces, over crowding etc. im a 15 year old girl with braces that have been on for 2 years, i have a scissor bite due to a severe crowding case and i have big teeth, i also have an overbite but its not too...

Do I need to wear my retainer for life?
I have had my braces off for 10 years and have been pretty responsible about wearing my retainer. I am tired of it and want to put this part of life behind me. My teeth seem to be staying put. Can I simply stop using it and check to see if the...

I stained my saphire braces..please help
Hi. I got saphire braces 2 weeks ago without any elastic ligatures. Because I am a smoker, the brackets became a visible yellow which doesn't come out when I brush my teeth. Please help, I chose the saphire because I knew it wouldn't get stained but...

Retainer doesn't fit one tooth
I have a permanent and an overnight retainer that I wear religiously. However my teeth still shift. From 0 {content removed} 21 I have had severe lung issues that made me swallow and use my mouth weirdly just so I could breathe. I can not unlearn...

Orthodontic Abroad
Greetings, I hope you are doing well, I am Yosra Gholami, a Ph.D. student at the University of Pittsburgh, School of Medicine. Likewise, I got dental braces in Iran on April 17, 2023, and the wires have been changed three times so far. My question...

My right side molars on top and bottom are lower than the left side. Is this fixable?
My right side molars on both top and bottom are lower than the left side which or placed correctly. I’ve been in braces for over two years now and have not seen any correction in this, despite it being my main concern. My right side profile looks...

Implant bleeding during orthodontic treatment
Hello, I am an adult who had braces as a teen and an implant placed prior to that. The implant is the maxillary right lateral incisor on the top. Now at 40yo I have braces again on my bottom teeth as they have lost their alignment. The braces on...

What should I do about a single miss aligned tooth
Okay so, to explain this I have over crowding in my bottom front set of teeth. Whats happened is you know you have the front 4 teeth, one of the middle teeth to be exact the right middle one has been pushed back into my mouth behind the other 3....