Are My Teeth Too Flared?

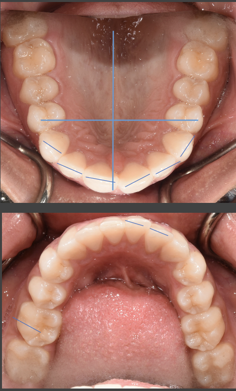
Hello! I took off my braces about 10 months ago. I had an underbite and had my braces for about 23 months. I was pretty unhappy when I took them off though because my teeth look so flared and there was a gap in my bite on *my* right side. Is this normal? And would it cost extra if I wanted to make it less flared? (My teeth are angled out instead of pointing more down...they're more angled than horse teeth. It's hard to see in photos but REALLY noticeable in real life. Everyone asks why my teeth are out at a 40 degree angle....) Also, after I took off my braces, my orthodontist made my clear plastic retainer immediately. However, they put on permanent metal retainers on my top four teeth and my bottom six teeth after making the retainer. When I went home the clear plastic retainers did not fit (I am assuming it is because they made it before the metal retainers) and I looked it up and an orthodontist said that the clear plastic retainers were back up since I had permanent metal ones. Since my orthodontist didn't give me instructions or mention the clear plastic retainers, I asummed I did not need to wear them so I did not wear them for 9 months. I noticed there are gaps between the teeth where there is a metal retainer and the rest of my teeth. However, when I went back for a checkup, my orthodontist said it looked fine and made me another retainer since the other ones did not fit. Now I wear my retainers every night. My 2 questions are: 1. How can I fix the flared teeth? Is it the orthodontist's fault for taking them out too early or something? If I fix it will my lips be thinner? 2. Are the gaps between the teeth fine or should I get it checked out?

No answers so far.

Do you want to answer this question? Login or register now to answer this question.

More Questions from Dental Braces

How to remove braces glue from teeth?

how can I get the braces glue off I tried everything?

Almost-brodie bite with SFOT. Looking for provider recommendations

I went to my original orthodontist really wanting a wider smile and a fix to my overbite {content removed} sleep apnea. He proposed removing two premolars in order to prepare for double jaw surgery. I had the two lower premolars removed in addition...

Extraction During Braces for Scissor Bite Molar

Hello, i have a simple question regarding braces, over crowding etc. im a 15 year old girl with braces that have been on for 2 years, i have a scissor bite due to a severe crowding case and i have big teeth, i also have an overbite but its not too...

Michelle rabbit braces

Do I need to wear my retainer for life?

I have had my braces off for 10 years and have been pretty responsible about wearing my retainer. I am tired of it and want to put this part of life behind me. My teeth seem to be staying put. Can I simply stop using it and check to see if the...

I stained my saphire braces..please help

Hi. I got saphire braces 2 weeks ago without any elastic ligatures. Because I am a smoker, the brackets became a visible yellow which doesn't come out when I brush my teeth. Please help, I chose the saphire because I knew it wouldn't get stained but...

retainer doesn't fit

Retainer doesn't fit one tooth

I have a permanent and an overnight retainer that I wear religiously. However my teeth still shift. From 0 {content removed} 21 I have had severe lung issues that made me swallow and use my mouth weirdly just so I could breathe. I can not unlearn...

Orthodontic Abroad

Greetings, I hope you are doing well, I am Yosra Gholami, a Ph.D. student at the University of Pittsburgh, School of Medicine. Likewise, I got dental braces in Iran on April 17, 2023, and the wires have been changed three times so far. My question...

My right side molars on top and bottom are lower than the left side. Is this fixable?

My right side molars on both top and bottom are lower than the left side which or placed correctly. I’ve been in braces for over two years now and have not seen any correction in this, despite it being my main concern. My right side profile looks...

Implant bleeding during orthodontic treatment

Hello, I am an adult who had braces as a teen and an implant placed prior to that. The implant is the maxillary right lateral incisor on the top. Now at 40yo I have braces again on my bottom teeth as they have lost their alignment. The braces on...

What should I do about a single miss aligned tooth

Okay so, to explain this I have over crowding in my bottom front set of teeth. Whats happened is you know you have the front 4 teeth, one of the middle teeth to be exact the right middle one has been pushed back into my mouth behind the other 3....