Loss Of Teeth Denal Work WIthout Insurance?

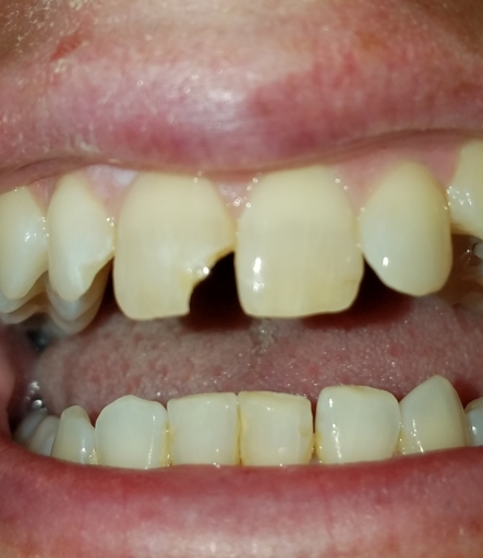
My mother has had many issues with her teeth and recently she has been losing them. They either break or become abscess or something. I am trying to figure out how I can get her dental work without insurance and how much it would cost. I'm wondering what she would need to get. does she need a set of dentures or are their more permanent things that could happen?

Do you want to answer this question? Login or register now to answer this question.

No profile picture

Answer: building a smile

By

Im sorry to hear your mother is going through the pain and emotional loss of her teeth.  The first step is to have a full set of dental radiographs taken in order to find the source of the infection and to either treat it or remove it completely prior to it affecting additional areas in the mouth and/or teeth.  This set of radiographs will also inform the treating dentist of the level of bone, which is important for both denutre support as well as restorative treatment.  Once this is established a treatment plan can be formed to return your mothers dentition to proper function.  WIthout insurance, dentures may be most cost effective, however placing a minimum of 2 dental implants per arch is standard of care.  Dentures often become loose and without a sufficient amount of bone, can require adhesives.  This is why dental implants are recommended.  The dentures will snap securely onto the dental implants to avoid movement and increased sores within the mouth.  Check local charities and health departments, many offer assistance to those in need of oral surgery and dentures for patients in need.  If it doesnt completely cover the cost it will be of help.  You may also look into a pre-paid dental program that can help reduce the fees without giving you a maximum spending.  Wishing all the best to your mom during this transition.

More Questions from Dental Restoration

Can mouth breathing affect the way the face grows. Ex: forward growth of face if you did at a young age

Hey I have a question on whether mouthbreathing affects the way the face grows, does it make the face grow downwards instead of forwards because of lack of support of tongue or is it it genetics since i too have a longer grownface compared to my...

Can mouth breathing affect the way the face grows ex.forward growth of face if you did at a young ag

Does mouth breathing affect the way the face grows like the forward growth of it as a kid my nose was broken and i breathed through nose so is it possible tht it affected my face growth or is it all genetics?

Alternative to a reverse pull headgear for underbite?

So, a reverse pull head gear pulls out the maxilla in order to harmonize with an overly protrusive lower jaw. But my daughter says she doesn't want that to happen. Is there an alternative head gear that instead pulls the lower jaw backwards in order...

Broken tooth help

I have a question about when and how to bond my front teeth. I face planted in the street from riding like a moped with no helmet in cracked chipped two teeth. The one is minimal and the front one is about 15% have a corner of the tooth. It's been a...

Bad veneer bad bite

I got 6 veneers on my front teeth in December. They do not fit...not the same as acrylic temps. Now have excruciating jaw pain. I also left that dentist, went to my primary dentist and he filed on some of my back teeth to relieve pain. Now as I...

Get my teeth to normal

My thorns have grown higher than the ones on the bottom. What can I do get them to a normal level or adjust them? Do I need braces or will they eventually adjust on their own? I feel insecure about it because every time I smile it pops like I’m...

Should this tooth be refilled

I was wondering if you think this tooth should have a new filling put in it or leave it alone. It has been sensitive every now and then but don't bother to much. If it were to be refilled what would be the best filling to replace it with

Deterioration of composite resin fillings after only a few weeks/months?

So some quick background, I hadn't been to a dentist in about a decade (I'm 30 if that matters) till this past January. Hadn't had any problems or noticeable cavities till about a year/year and a half ago, when a fair few seemed to pop up all at...

How can I get rid of deep set stain on front tooth caused by absess while tooth was growing

I have a deep stain on my front tooth, ive been bullied about it ever since I was in school and im very self concious about it. My dentist tried to patch it up which still wouldnt hide the stain, any options of what I can do to get rid of it that...

Crooked teeth options other then braces or Invisalign

My two lateral incisors are receded behind my two front teeth all the rest of my teeth are straight. I'm tryin to figure out my best option to get a quick smile make over I'd like to just have them pulled and put two implants in so they are...