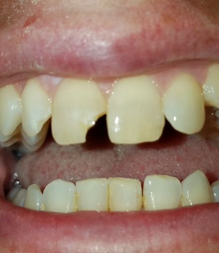
Broken tooth help

I have a question about when and how to bond my front teeth. I face planted in the street from riding like a moped with no helmet in cracked chipped two teeth. The one is minimal and the front one is about 15% have a corner of the tooth. It's been a week today and although the tooth isn't sensitive to hot or cold it is a still sensitive to touch. I was holding out going to the dentist until it felt a little bit better but I don't know if that's doing more damage to my teeth or not. I'm petrified of dentist and needles and I want the easiest in the most comfortable solution for my teeth. I know there is stuff that will remove the enamel without putting the grinder to the actual tooth. This seems to me less painful. If I put a light behind my tooth it looks like it kind of fractured more than where they actual break is which I guess is understandable. So my questions are is it okay if I wait a little longer will it even make a difference? Is there stuff to remove the enamel without grinding in would that still hurt? I'm assuming that there's going to have to be pressure put on that tooth to bond which I would assume wouldn't be too much pressure. Please someone help me I can't get an answer from any dentists and the dentists that I would like to go to doesn't return calls or answer the phone. I don't have a regular dentist. Please let me know how much of a time crunch this is to fix. And if it's okay to wait a little bit will the tooth feel better ?

Do you want to answer this question? Login or register now to answer this question.

No profile picture

Answer: Broken tooth

By Sarah h
Dental Professional

It is best to seek dental treatment as soon as possible.  You may have a fracture that is undetected by the naked eye and allowing it to go untreated could put you at risk for infection.  The first visit with a new dentist will be for an evaluation only.  The dentist will need to take at minimum one dental x-ray in order to properly diagnose necessary treatment.  Once the tooth is evaluated, depending on the diagnosis and treatment, you may be able to wait to see if the tooth will be okay without rushing into treatment.  The dentist will be sure you are comfortable prior to working on your tooth.  It is easier for you as well as the treating doctor if you are comfortable and at ease.  Your front tooth should be restored properly and look as if it was never damaged.  Take your time choosing a dentist to work on you and be sure you are comfortable and confident in their recommendations. 

More Questions from Dental Restoration

Can mouth breathing affect the way the face grows. Ex: forward growth of face if you did at a young age

Hey I have a question on whether mouthbreathing affects the way the face grows, does it make the face grow downwards instead of forwards because of lack of support of tongue or is it it genetics since i too have a longer grownface compared to my...

Can mouth breathing affect the way the face grows ex.forward growth of face if you did at a young ag

Does mouth breathing affect the way the face grows like the forward growth of it as a kid my nose was broken and i breathed through nose so is it possible tht it affected my face growth or is it all genetics?

Alternative to a reverse pull headgear for underbite?

So, a reverse pull head gear pulls out the maxilla in order to harmonize with an overly protrusive lower jaw. But my daughter says she doesn't want that to happen. Is there an alternative head gear that instead pulls the lower jaw backwards in order...

Broken tooth help

I have a question about when and how to bond my front teeth. I face planted in the street from riding like a moped with no helmet in cracked chipped two teeth. The one is minimal and the front one is about 15% have a corner of the tooth. It's been a...

Bad veneer bad bite

I got 6 veneers on my front teeth in December. They do not fit...not the same as acrylic temps. Now have excruciating jaw pain. I also left that dentist, went to my primary dentist and he filed on some of my back teeth to relieve pain. Now as I...

Get my teeth to normal

My thorns have grown higher than the ones on the bottom. What can I do get them to a normal level or adjust them? Do I need braces or will they eventually adjust on their own? I feel insecure about it because every time I smile it pops like I’m...

Should this tooth be refilled

I was wondering if you think this tooth should have a new filling put in it or leave it alone. It has been sensitive every now and then but don't bother to much. If it were to be refilled what would be the best filling to replace it with

Deterioration of composite resin fillings after only a few weeks/months?

So some quick background, I hadn't been to a dentist in about a decade (I'm 30 if that matters) till this past January. Hadn't had any problems or noticeable cavities till about a year/year and a half ago, when a fair few seemed to pop up all at...

How can I get rid of deep set stain on front tooth caused by absess while tooth was growing

I have a deep stain on my front tooth, ive been bullied about it ever since I was in school and im very self concious about it. My dentist tried to patch it up which still wouldnt hide the stain, any options of what I can do to get rid of it that...

Crooked teeth options other then braces or Invisalign

My two lateral incisors are receded behind my two front teeth all the rest of my teeth are straight. I'm tryin to figure out my best option to get a quick smile make over I'd like to just have them pulled and put two implants in so they are...