Is it possble to make adjusments on the Hyrax expander?
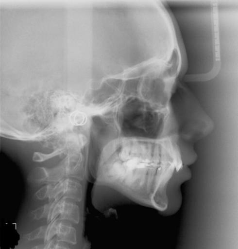
2013-12-31 Dear Doctors My name is Savio, I am 49 years old. I would like to ask you some explanation over a problem I had during a Sarpe surgery. I was recently diagnosed with transverse maxillary constriction with posterior crossbite. (Class I Malocclusion on Left), and the doctor recommended me a surgically assisted rapid palatal expansion. Only one week after the surgery and during the activation of the Hyrax, the result was a serious asymmetric expansion on the right side, with strong pain close to my ear and leaving me with a visible asymmetry on my right cheek. The left side, with more serious crossbite almost didn´t move. Unfortunately the surgeon was absent during the post-op and even when he was back, he said everything was normal. The orthodontist was forced to work on the Hyrax to reduce the asymmetry and eliminate the facial deformity I was with. He told me he managed to keep the minimum expansion that occurred on the left side, and at the same time he pulled the right side back to a satisfactory position. Talking a little bit about the structure of the Hyrax and its possible movement, according to my understanding. Considering there is only one screw on the Hyrax, and this screw once activated, will open sideward the four arms with equal force and simultaneously to both sides, causing the expansion (in a bilateral surgery like mine). In case of a blockage on one side (in my case it happened on the left side), the Hyrax force will still be the same to the four arms, but occurring some resistance on the left side, the major force will be thrown to the other side (my right side), causing the asymmetry. Based on this, I really cannot understand how the doctor may execute adjustments on each side independently using only one screw. His option was to turn the key to open and close the Hyrax, and any progress during the opening, with symmetrical or asymmetrical result, must have the same equal and proportional progress during the closing. In practice, there being only one screw to turn on the Hyrax, allowing only two movements, to activate or deactivate, my question for you is exactly about the possibility of the adjustment the doctor claimed he did. Do you think it is possible to adjust one side independently from the other, or any action done on this screw, will directly affect the sides simultaneously? I appreciate and thank you for your help Best regards Savio
No answers so far.
Do you want to answer this question? Login or register now to answer this question.
More Questions from Orthognathic Surgery

Will jaw surgery correct my tongue thrust?
I have an open bite due to a tongue thrust I've had since I was a baby (I'm 22 now). My open bite has caused some issues like with trouble chewing, I have a slight lisp when I talk, I hate my smile and sometimes I find myself gasping for breath in...

Should I get jaw surgery?
Hello, I have an under bite, and while my braces were on, I was told to get jaw surgery. However, I rejected it at the time and so the orthodontists did their best to line up my teeth using braces. I now have my braces off, but I'm not completely...

Jaw Surgery Doesn't Feel Right - Le Fort
I recently had le fort I upper jaw advancement and feel like it isn’t right. Any help or advice is appreciated. I had braces at the age of 18 that camouflaged underlining issues with very narrow palate. I had many teeth removed growing up also. I...

Infraorbital nerve feeling after jaw surgery
A year ago I had jaw surgery, maxillary osteotomy. Since then, my upper teeth and gums had been numb. I knew regaining feeling would take time, but I never got many details about what that would be like. I've been having a lot of sinus pain and...

Surgery had on my 4 teeth and bone removed
My gums feel like they were cut up into nothing. there hurting , raw and sore.what can i do to help my gums to heal fast and assist them please. Pain medication isn't helping at all. The dr. had a hard time cutting teeth and bones out

My gum is growing over my teeth
Why are my gums growing over my bottom teeth? It hurts so bad I can barely take it. I have a very hard time brushing because they bleed.They also bleed, it hurts when I eat. Sometimes I wake up in the middle of the night and have blood on my pillows...

Do I require lefort 1 advancement?
I am 9 months post sarpe. My orthodontist said I should ask my surgeon if I should do lefort 1. My surgeon says I wouldn’t need lefort 1 advancement unless my ortho tilts my bottom front teeth out. What should I do and what questions and procedures...

Overjet? Braces? Is my upper jaw forward or my lower jaw back??
I am 26 yr old female and i have finally gathered the money to get my braces done. Over the years i have been told that my lower jaw is "pushed back" and it could cause problems when am older. The last orthodontist i went to, mentioned that i have...

Bone Grafting
Hello I am 42 years old and I recently had an orthodontic consultation where the orthodontist said that because I have a slight posterior cross bite on my upper right side, I MAY need a bone graft (before a full course of Invisalign or braces) or...

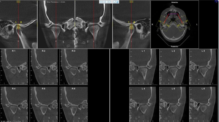
In this image of my condyles, do they appear normal/healthy or is there any bone loss?
Attached is an image of my condyles. Are they normal and healthy or Do you see any bone loss such as flattening or erosion of them? If there does appear to be some bone loss, how does this affect my bite and the appearance/position of my jaw?? Is...