How Do Braces Fix Crooked and Overlapping Teeth?

I have two teeth that go over my other teeth and are twisted how will the braces fix that and how will they go on?

Do you want to answer this question? Login or register now to answer this question.

No profile picture

Answer: The wire on the braces do all the moving

By

You would be amazed at how braces fix all kinds of twisted and overlapping teeth. When you are ready to get the braces on it is not painful to do. There was a few different ways that a orthodontist will use to put braces on. One way is putting on brackets(braces) on each tooth one at a time. They put on special bonding(glue) material on the back of the bracket and place it on your teeth according to which the teeth have to move. Another way is the orthodontist will take an impression of your teeth( a tray with alginate and place it on your upper and lower teeth one at a time) in which they make a mold. On the mold they place the brackets and them and them a make another soft mold in which is then place on your teeth. Once all the braces are on, we then put a wire on and tie them in with either a metal wire or the colorful elastics to hold the wire in bracket. The wire does all the moving of your teeth and that is when your teeth sometimes gets sore. But is all goes away once in position. Sometimes we make bends in the wire to help move teeth in the correct position. Sometimes you have to wear elastics also to help move the teeth. Also sometimes you need to get teeth taken out to make room too. Everybody is different so you would have to go and see and orthodontist and check out what you need to get done to have a perfect smile.

More Questions from Orthognathic Surgery

Will jaw surgery correct my tongue thrust?

I have an open bite due to a tongue thrust I've had since I was a baby (I'm 22 now). My open bite has caused some issues like with trouble chewing, I have a slight lisp when I talk, I hate my smile and sometimes I find myself gasping for breath in...

Should I get jaw surgery?

Hello, I have an under bite, and while my braces were on, I was told to get jaw surgery. However, I rejected it at the time and so the orthodontists did their best to line up my teeth using braces. I now have my braces off, but I'm not completely...

Jaw Surgery Doesn't Feel Right - Le Fort

I recently had le fort I upper jaw advancement and feel like it isn’t right. Any help or advice is appreciated. I had braces at the age of 18 that camouflaged underlining issues with very narrow palate. I had many teeth removed growing up also. I...

Infraorbital nerve feeling after jaw surgery

A year ago I had jaw surgery, maxillary osteotomy. Since then, my upper teeth and gums had been numb. I knew regaining feeling would take time, but I never got many details about what that would be like. I've been having a lot of sinus pain and...

Surgery had on my 4 teeth and bone removed

My gums feel like they were cut up into nothing. there hurting , raw and sore.what can i do to help my gums to heal fast and assist them please. Pain medication isn't helping at all. The dr. had a hard time cutting teeth and bones out

My gum is growing over my teeth

Why are my gums growing over my bottom teeth? It hurts so bad I can barely take it. I have a very hard time brushing because they bleed.They also bleed, it hurts when I eat. Sometimes I wake up in the middle of the night and have blood on my pillows...

Do I require lefort 1 advancement?

I am 9 months post sarpe. My orthodontist said I should ask my surgeon if I should do lefort 1. My surgeon says I wouldn’t need lefort 1 advancement unless my ortho tilts my bottom front teeth out. What should I do and what questions and procedures...

Overjet? Braces? Is my upper jaw forward or my lower jaw back??

I am 26 yr old female and i have finally gathered the money to get my braces done. Over the years i have been told that my lower jaw is "pushed back" and it could cause problems when am older. The last orthodontist i went to, mentioned that i have...

Bone Grafting

Hello I am 42 years old and I recently had an orthodontic consultation where the orthodontist said that because I have a slight posterior cross bite on my upper right side, I MAY need a bone graft (before a full course of Invisalign or braces) or...

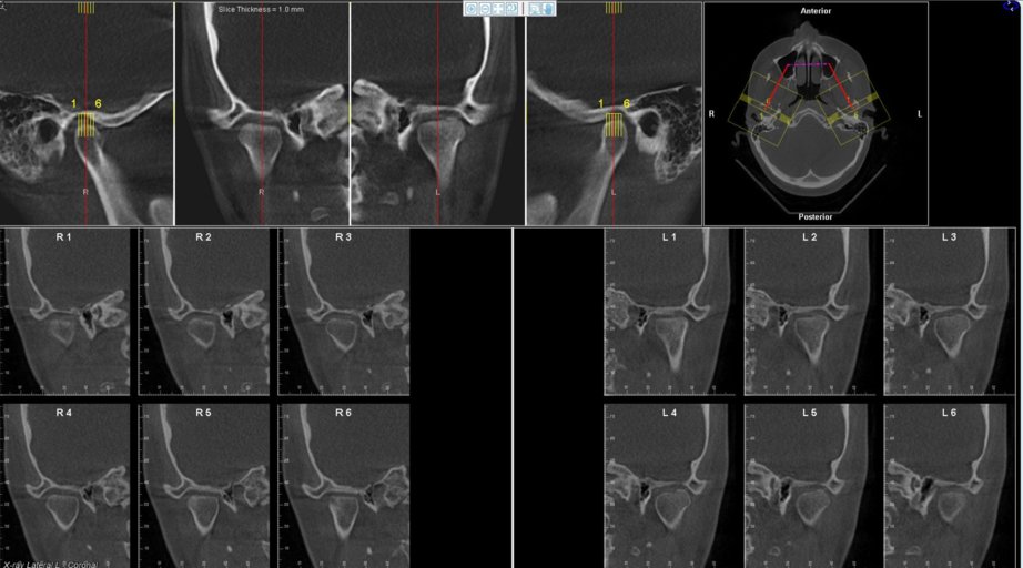
In this image of my condyles, do they appear normal/healthy or is there any bone loss?

Attached is an image of my condyles. Are they normal and healthy or Do you see any bone loss such as flattening or erosion of them? If there does appear to be some bone loss, how does this affect my bite and the appearance/position of my jaw?? Is...