Dental Bonding Solution Question - Phosporic Acid? Toxic?

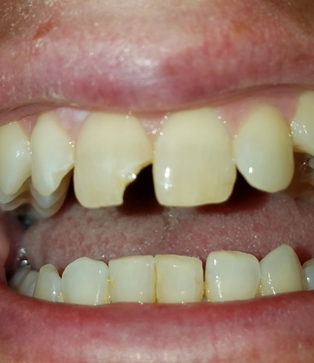
Hi, I have been reading your information on your website and an so impressed by your knowledge and all the important insights you share! I had a question I hope you can help me with. Today I had my front two top teeth bonded to fill a gap between them. This is about the 5th time I\'ve had it done because it always keeps breaking. Anyway, today during the bonding process, I had a horrible taste of some kind of solution in my mouth that was going down my throat that the dentist applied. I tried my best not to swallow it by I know some went down my throat. Hours later, it still is bothering my throat and making my stomach a little upset. As I said, I\'ve had bonding done SEVERAL times in the past and NEVER had this taste before. I am wondering if the dentist used too much solution? I asked him about it and he said it was an "acid" flavored thing called Dental Etch. Is this toxic to me? I am scared I had too much toxic stuff go down my throat and into my body? Could there be anything besides this that was also making this horrible taste? Thank you! Richard Benfield

Do you want to answer this question? Login or register now to answer this question.

No profile picture

Answer: Phosphoric acid

By Sarah h
Dental Professional

Dental etch is essentially a 35% phosphoric acid solution used to create tiny holes in the surface area of a tooth giving additional bonding surface for a composite resin restoration. This is usually administered on the tooth for 10 seconds or less depending on if it's enamel or dentin, then rinsed for at least the same amount of time for which it was applied. The high volume suction should be held to catch any of the etchant from the tooth. It has a very bitter taste. If you swallowed any, you should seek medical attention as it can be harmful. You may also have tasted the actual bonding agent which has a unique smell, much like an adhesive. Either one can be harmful, it is best to seek medical attention especially since you are having symptoms of ingestion (stomach hurting). Always better to be safe.

More Questions from Dental Restoration

Can mouth breathing affect the way the face grows. Ex: forward growth of face if you did at a young age

Hey I have a question on whether mouthbreathing affects the way the face grows, does it make the face grow downwards instead of forwards because of lack of support of tongue or is it it genetics since i too have a longer grownface compared to my...

Can mouth breathing affect the way the face grows ex.forward growth of face if you did at a young ag

Does mouth breathing affect the way the face grows like the forward growth of it as a kid my nose was broken and i breathed through nose so is it possible tht it affected my face growth or is it all genetics?

Alternative to a reverse pull headgear for underbite?

So, a reverse pull head gear pulls out the maxilla in order to harmonize with an overly protrusive lower jaw. But my daughter says she doesn't want that to happen. Is there an alternative head gear that instead pulls the lower jaw backwards in order...

Broken tooth help

I have a question about when and how to bond my front teeth. I face planted in the street from riding like a moped with no helmet in cracked chipped two teeth. The one is minimal and the front one is about 15% have a corner of the tooth. It's been a...

Bad veneer bad bite

I got 6 veneers on my front teeth in December. They do not fit...not the same as acrylic temps. Now have excruciating jaw pain. I also left that dentist, went to my primary dentist and he filed on some of my back teeth to relieve pain. Now as I...

Get my teeth to normal

My thorns have grown higher than the ones on the bottom. What can I do get them to a normal level or adjust them? Do I need braces or will they eventually adjust on their own? I feel insecure about it because every time I smile it pops like I’m...

Should this tooth be refilled

I was wondering if you think this tooth should have a new filling put in it or leave it alone. It has been sensitive every now and then but don't bother to much. If it were to be refilled what would be the best filling to replace it with

Deterioration of composite resin fillings after only a few weeks/months?

So some quick background, I hadn't been to a dentist in about a decade (I'm 30 if that matters) till this past January. Hadn't had any problems or noticeable cavities till about a year/year and a half ago, when a fair few seemed to pop up all at...

How can I get rid of deep set stain on front tooth caused by absess while tooth was growing

I have a deep stain on my front tooth, ive been bullied about it ever since I was in school and im very self concious about it. My dentist tried to patch it up which still wouldnt hide the stain, any options of what I can do to get rid of it that...

Crooked teeth options other then braces or Invisalign

My two lateral incisors are receded behind my two front teeth all the rest of my teeth are straight. I'm tryin to figure out my best option to get a quick smile make over I'd like to just have them pulled and put two implants in so they are...