Angling of implant abutments

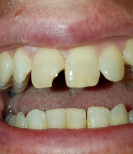
Hi my name is mike,I am 40yrs old almost 4yrs ago I went to a school that has gratuate students to get one implant put in top lateral incisor.the tooth had limited tooth structure and crown had to be pulled! I wish that the dr told me earlier that once you pull a tooth in sinus area if you leave out for a while your sinus wall drops & you will need a sinus lift before you can put a implant in! I went to the school because it would be a little cheaper! I will try to be as short as possible but feel like if you know whole story maybe it will help me get the right answers to my questions. Instead of getting 1 implant I ended up getting 9 implants 2 sinus lifts & 2 bone grafts. one of which the took piece of bone from lower mandible region. So after all surgeries were finished 11/2 yrs later I had temps put in, grant it I had temps put in through out the surgeries but because I was having surgeries 4 months from each other it was difficult to get bite and vertical dimension correct! Here is what I have, after getting 7 of my original teeth pulled in the beginning for implant placement. I have 2 implant supported bridges for all posterior teeth top & bottom & one implant with cantilever for upper central incisor. For my natural teeth I have all anterior teeth on bottom & top all except right central & lateral, anterior teeth on top they put crowns on. the first dr put screw retained in for bridges she made them small but did not really look like teeth & top keeped on breaking! Then that dr graduated & was transferred to another dr which ended up taking everything out & started all over again! Now I have cement retained abutments in for bridges & look like teeth! But now having problem with upper right bridge. I remember the abutments that were put in one was angled and back one was straight or vertical. when the cement retained ones were put in one the back one was not straight anymore but on same angle as the front one! Now on cheek side I have a problem with the tissue and bridge feels like not angleing enough away from pallet and feel too close to tongue & feel big! I also have minimal hard tissue for this area but never had a problem with tissue before when screw retained temporary bridge was in. Should your teeth on maxillary be angling away from or with pallet? another issue is the 2nd dr has no idea on how big my teeth were! which were small! Is it possible to put a offset abutment in to get teeth farther away from tongue, or do they need to be in same axis with bottom implants? I know it\'s very difficult to make this diagnosis but any out put will help! Thanks mike

No answers so far.

Do you want to answer this question? Login or register now to answer this question.

More Questions from Dental Restoration

Can mouth breathing affect the way the face grows. Ex: forward growth of face if you did at a young age

Hey I have a question on whether mouthbreathing affects the way the face grows, does it make the face grow downwards instead of forwards because of lack of support of tongue or is it it genetics since i too have a longer grownface compared to my...

Can mouth breathing affect the way the face grows ex.forward growth of face if you did at a young ag

Does mouth breathing affect the way the face grows like the forward growth of it as a kid my nose was broken and i breathed through nose so is it possible tht it affected my face growth or is it all genetics?

Alternative to a reverse pull headgear for underbite?

So, a reverse pull head gear pulls out the maxilla in order to harmonize with an overly protrusive lower jaw. But my daughter says she doesn't want that to happen. Is there an alternative head gear that instead pulls the lower jaw backwards in order...

Broken tooth help

I have a question about when and how to bond my front teeth. I face planted in the street from riding like a moped with no helmet in cracked chipped two teeth. The one is minimal and the front one is about 15% have a corner of the tooth. It's been a...

Bad veneer bad bite

I got 6 veneers on my front teeth in December. They do not fit...not the same as acrylic temps. Now have excruciating jaw pain. I also left that dentist, went to my primary dentist and he filed on some of my back teeth to relieve pain. Now as I...

Get my teeth to normal

My thorns have grown higher than the ones on the bottom. What can I do get them to a normal level or adjust them? Do I need braces or will they eventually adjust on their own? I feel insecure about it because every time I smile it pops like I’m...

Should this tooth be refilled

I was wondering if you think this tooth should have a new filling put in it or leave it alone. It has been sensitive every now and then but don't bother to much. If it were to be refilled what would be the best filling to replace it with

Deterioration of composite resin fillings after only a few weeks/months?

So some quick background, I hadn't been to a dentist in about a decade (I'm 30 if that matters) till this past January. Hadn't had any problems or noticeable cavities till about a year/year and a half ago, when a fair few seemed to pop up all at...

How can I get rid of deep set stain on front tooth caused by absess while tooth was growing

I have a deep stain on my front tooth, ive been bullied about it ever since I was in school and im very self concious about it. My dentist tried to patch it up which still wouldnt hide the stain, any options of what I can do to get rid of it that...

Crooked teeth options other then braces or Invisalign

My two lateral incisors are receded behind my two front teeth all the rest of my teeth are straight. I'm tryin to figure out my best option to get a quick smile make over I'd like to just have them pulled and put two implants in so they are...