20 years post O Surgery, can a mandibular extraction cause TMJ
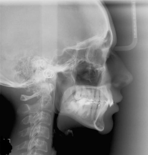
I am 20 years post Orthagnathic surgery. I needed a molar to be extracted on lower right. I had terrific pain in my left jaw during extraction. i have worked in the dental field for decades. I asked the doctor to please section my tooth at that painful moment. that was 2 1/2years ago. my left condile is flat now. I have TMJ pain and muscles spasms every day. Especially after talking for a while and of course chewing . My husband is an Orthodontist. He made me a splint which seems to work well after wearing over night. But mid day, everyday, its back !
Do you want to answer this question? Login or register now to answer this question.

Answer: Idiopathic Condylar Resorption
By BracesInfo.com Expert 10
It is not likely that the extraction or trauma created during single tooth extraction caused the loss of vertical dimension in your condyle. What are you describing sounds like Idiopathic Condylar Resorption (ICR). It occurs in about 9:1 females to males. While this disease is well documented, it is poorly understood. Many say that it is linked with orthodontic treatment and orthoganathic surgery, however with no direct cause-effect relationship, it may be coincidental. The recommended treatment is splint therapy as well as additional surgeries, however nothing can completely cure the resorption just slow the progression and minimize the pain significantly.
More Questions from Orthognathic Surgery

Will jaw surgery correct my tongue thrust?
I have an open bite due to a tongue thrust I've had since I was a baby (I'm 22 now). My open bite has caused some issues like with trouble chewing, I have a slight lisp when I talk, I hate my smile and sometimes I find myself gasping for breath in...

Should I get jaw surgery?
Hello, I have an under bite, and while my braces were on, I was told to get jaw surgery. However, I rejected it at the time and so the orthodontists did their best to line up my teeth using braces. I now have my braces off, but I'm not completely...

Jaw Surgery Doesn't Feel Right - Le Fort
I recently had le fort I upper jaw advancement and feel like it isn’t right. Any help or advice is appreciated. I had braces at the age of 18 that camouflaged underlining issues with very narrow palate. I had many teeth removed growing up also. I...

Infraorbital nerve feeling after jaw surgery
A year ago I had jaw surgery, maxillary osteotomy. Since then, my upper teeth and gums had been numb. I knew regaining feeling would take time, but I never got many details about what that would be like. I've been having a lot of sinus pain and...

Surgery had on my 4 teeth and bone removed
My gums feel like they were cut up into nothing. there hurting , raw and sore.what can i do to help my gums to heal fast and assist them please. Pain medication isn't helping at all. The dr. had a hard time cutting teeth and bones out

My gum is growing over my teeth
Why are my gums growing over my bottom teeth? It hurts so bad I can barely take it. I have a very hard time brushing because they bleed.They also bleed, it hurts when I eat. Sometimes I wake up in the middle of the night and have blood on my pillows...

Do I require lefort 1 advancement?
I am 9 months post sarpe. My orthodontist said I should ask my surgeon if I should do lefort 1. My surgeon says I wouldn’t need lefort 1 advancement unless my ortho tilts my bottom front teeth out. What should I do and what questions and procedures...

Overjet? Braces? Is my upper jaw forward or my lower jaw back??
I am 26 yr old female and i have finally gathered the money to get my braces done. Over the years i have been told that my lower jaw is "pushed back" and it could cause problems when am older. The last orthodontist i went to, mentioned that i have...

Bone Grafting
Hello I am 42 years old and I recently had an orthodontic consultation where the orthodontist said that because I have a slight posterior cross bite on my upper right side, I MAY need a bone graft (before a full course of Invisalign or braces) or...

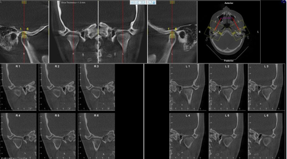
In this image of my condyles, do they appear normal/healthy or is there any bone loss?
Attached is an image of my condyles. Are they normal and healthy or Do you see any bone loss such as flattening or erosion of them? If there does appear to be some bone loss, how does this affect my bite and the appearance/position of my jaw?? Is...