
I have to re-do my crown 11 weeks pregnant
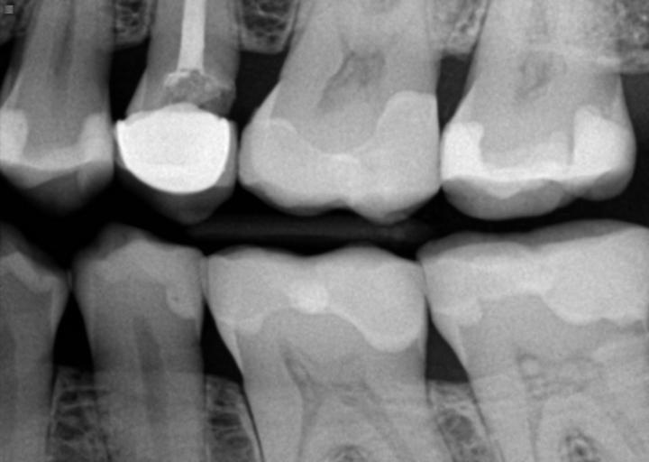
So I’ve been having gum pain in between my tooth and the tooth with the crown and the dentist told me that my crown was not properly fitted so bacteria is leaking inside and I most likely have an infection down below. I also have gingirifros I guess from pregnancy and one molars enamal is toraltngone and has some holes he suggests I get a crown there and one on top to prevent damage to the top one. I see way to many crown work going on and it’s expensive. He thinks that my crossbite caused it and suggested I also use a night guard in case of grinding. What are your suggestions and based on the photo below what do you think?
Do you want to answer this question? Login or register now to answer this question.

Answer: open margin on a crown
By Sarah h
Dental Professional
It appears in the radiograph you submitted that the distal margin of the crown is open. The crown could have fit improperly when it was cemented in, or decay may have formed since it was placed. It is hard to say if there is active decay under the crown, because there is metal in the crown, which appears opaque on the radiograph. The only way to determine if there is decay and the extent, is to remove the crown and have a new crown fabricated. If your obgyn approves for you to have treatment, it is a very predictable procedure with minimal risk involved. If your doctor does not give you permission for treatment at this time, there is a risk that a cavity could continue to grow under the crown and affect the nerve tissue. It is always better to restore the tooth as soon as you find an issue, it will only continue to get worse. As far as a night guard, it is a great option for reducing damage to tooth structure during clenching and grinding. An impression is taken and the appliance fabricated. No anesthetic is involved, so the procedure is completely safe for pregnant and nursing women.
More Questions from Crowns

Proper positioning
My bottom teeth are touching against the back of my top teeth. With more pressure than normal when I close my mouth naturally. If I got crowns could it position my teeth in a way where I can close my mouth naturally with less pressure against my...

time required for crowns.
I am from out of state and planning on coming to utah to get two crowns put in. They are both on the top of my mouth. How long does it take to get the permanent crown after getting the temporary in? And can I have two crowns on the different side of...

Small teeth?
Hi! I don't know if this is the right place to come for advice lol, but okay so my back teeth are smaller than my four front teeth, and also pointy. if that makes sense? and it makes it to where i have gaps in the back on the top, noticeable too. I...

My root canal crown has fell off again after a little over a month . Now it is hurting why is that?
Hi . My crown fell off my root canal . I had the root canal done a little over a month ago . A week later the crown fell off . I went back and they put a new crown on . But now it fell off . The root canal tooth also seems to hurt in a way . Its red...

too big crown
Fist, the dentist made a temporary crown on tooth number 31. After the injection, all my jaw was numbed and even my tongue for three weeks. After these, all my tooth starts to be in pain, especially tooth number 5. I said these to the doctor, and...

Can I get dental bonding over a crown that I’m not satisfied with?
Can I do dental bonding over a crown I’m not satisfied with? I have 4 crowns on my front teeth and I they are nice but they could be better. However, I don’t want to spend money on crowns again. They’re too expensive even with insurance.

Dental Crowns
I was asked to get crown for my 3 years old's bicuspids teeth. She had a bit cavity and doctor said it will worse later. To avoid it he suggests to put crowns on two of her tooth. I was concerned if a crown will be still fit to her teeth after 3...

Cavity under crown or ill fitted crown?
I have received conflicting opinions on a tooth: one dentist said it is cavity under the crown and treatment could be crown lengthening/dental implant while other dentist said there is no cavity, it's just ill fitted crown. Is this something we can...

Bridge crown discomfort
when I wear my night guard retainer I feel an ache underneath a bridge This is a new retainer and I had not experienced this type of discomfort with my old retainer. The discomfort goes away after I remove the retainer Of note is the fact that the...

Info regarding your cost estimate
On the page titled "Average Cost & Price of Crowns and Bridges in Chicago Illinois" it's not clear to me whether this the materials and labor i.e. including the examination, preparation and cementing of the crown in place or not. i.e. is this...