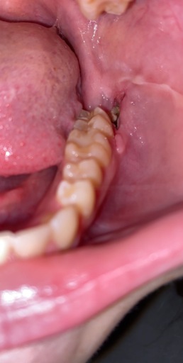
Gums where wisdom teeth were removed after 2 years seem to be suddenly opening again.
I had my wisdom teeth out almost 2 years aago. And just earlier I had noticed that I tasted slight blood in my mouth. I came to realize that where I had my wisdom teeth removed it seemed like it was starting to open back up again. It's slightly swollen and sore and it stings. Cannot get picture with where it is at
Do you want to answer this question? Login or register now to answer this question.

Answer: Wisdom teeth
By Sarah h
Dental Professional
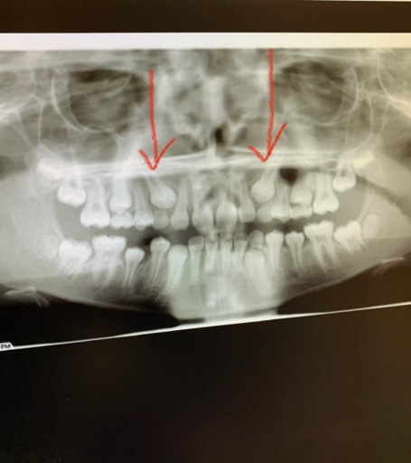
It is very unusual that the extraction sites would reopen after so many years. If this is only happening in one area, it may be a sign of a periodontal issue or it could be an issue with the tooth next to the extraction site. Bleeding in the mouth if not from trauma is usually an indication that there is an infection or disease present and should not be ignored. Schedule an appointment with your general dentist immediately or you can schedule a follow-up with the oral surgeon that treated you 2 years ago.

Answer: Emergency Root Canal Treatment
By Emergency Dentist
Emergency Dentist Houston is the best dental clinic. If you find yourself in dental pain and you think you're having a dentist emergency visit us. We provide 24/7 affordable and effective dentist services. Our team of professionals will take care of your any dental problems at any cost with advanced technology.
You need to seek the advice of a dental professional, preferably a periodontist or oral surgeon, who does this kind of work, and have him or her take an X-ray, either a CT scan or Panorex. The image should be not only of your teeth but also your jawbone. This will allow you to rule out any kind of infection, cyst, or problem at the extraction site that could account for the recurring swelling. It's possible that there's a problem with the tooth adjacent to the extraction socket. The tooth might have a cavity or need a root canal treatment, which would makes it feel as though it's affecting the socket area.
More Questions from Dental Surgery

Is the a dry socket or normal healing?
got pulled 3 days ago curious whether or not it’s a dry socket isn’t into much pain I would really appreciate if someone would answer. feels normal just wondering has stitches around it. not to deep of a hole.

will my bone graft surgery help minimize my periodontal pocket?
I have a tooth that is coming out, my dentist said he will be doing a deep cleaning, a sinus lift and bone graft before he places an implant and crown. I noticed that there is spacing in that tooth and the one next to it, will the bone graft and...

Is this an infection?
I just had all 4 wisdom teeth removed 3 days ago and this is on the bottom left side and I can’t tell what it is. It is only on the left bottom side and from trying to look it up on the internet I can’t tell if it’s an infection or not.

Jaw Bone Showing After Wisdom Tooth Extraction
Hello! One week ago I have two wisdom teeth removed, both being on the same side of my mouth. I had an infection on my bottom wisdom tooth and was given antibiotics prior to the extraction. Since the surgery, I have had dull pain from that one...

Do I need a biopsy? Is this a mucucele?
See pics please. This is soft to the touch. Been there a few years. I thought is was a blocked saliva duct but now it has the dark area beneath it which is new. Of note. About 6 years ago a general dentist said to keep an eye on it for any...

Why Am I Missing Roots on My Wisdom Teeth?
I'm having my wisdom teeth taken out soon. I was told that none of the four wisdom teeth have roots. I even saw the x rays, and it just looked like the top of a normal molar. They have not broken through the gums yet, but they felt I needed them out...

Help! Might need wisdom teeth removal during coronavirus.
Hello so I have had jaw pain and my wisdom teeth have needed to be removed. What should I do, all oral surgeons are closed due to COVID-19. Help please I am very nervous! My jaw seems a little swollen and I am worried it might spread!

Impacted Canines
What is the procedure for impacted Canines that are at the top only for both canines and they are in the top of the gums on the outside (not in palette). I have an X-ray. ITS FOR MY DAUGHTER... 12 years old and 2 months.

Wisdom Tooth Removal, Infection?
I got my wisdom teeth removed on January 8th (it is now Jan 23) and I'm not sure if I'm healing properly. I am unable to visit my oral surgeon again, as I attend school out of state from where I had the procedure otherwise I would go in for a quick...

Underbite Worsening with Age and Correction Options
I had an underbite that orthodontists originally expected to correct itself. I got braces in 4th grade (about 9-10 years old) to correct a large gap due to two missing teeth (genetic, not caused by trauma) and then the orthodontist added a palette...