
Cutting a frenulum between upper and lower gums
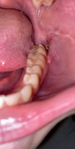
Hi, I have a frenulum on the right side of my mouth. It connects to my gums about 1cm behind the upper and lower back molars. It has become tight and painful. Have you ever seen anything like this? Is it safe to have it cut? I will attempt to add a photo. Thank you, H. Jay Graber
Do you want to answer this question? Login or register now to answer this question.

Answer: Cutting a frenulum
By Sarah h
Dental Professional
A frenum or frenulum is a small fold of tissue that restricts and secures the motion of a mobile organ. I have not heard of a frenulum in the back of the mouth. It would be best to bring this to the attention of your dentist, especially because it is causing discomfort. I did not see a picture attached to your question, however I am wondering if it is part of your cheek or possibly an impacted tooth that may be causing this discomfort. Use warm salt water rinses several times a day to soothe the tissues until you have a proper exam and diagnosis.

Answer: Cutting a frenulum
By Sarah h
Dental Professional
A frenulum or frenum is a small fold of tissue that restricts or secures the motion of a mobile organ. I have not seen a fold of tissue (unless sutured) that connects distal to the molars. There is a frenum that connects your tongue to the floor of your mouth as well as one that attaches your lips to your jaws. Since you are experiencing pain, it is important for you to see your dentist immediately to be sure you do not have an infection or a tooth that is creating swelling in the area.
More Questions from Dental Surgery

Is the a dry socket or normal healing?
got pulled 3 days ago curious whether or not it’s a dry socket isn’t into much pain I would really appreciate if someone would answer. feels normal just wondering has stitches around it. not to deep of a hole.

will my bone graft surgery help minimize my periodontal pocket?
I have a tooth that is coming out, my dentist said he will be doing a deep cleaning, a sinus lift and bone graft before he places an implant and crown. I noticed that there is spacing in that tooth and the one next to it, will the bone graft and...

Is this an infection?
I just had all 4 wisdom teeth removed 3 days ago and this is on the bottom left side and I can’t tell what it is. It is only on the left bottom side and from trying to look it up on the internet I can’t tell if it’s an infection or not.

Jaw Bone Showing After Wisdom Tooth Extraction
Hello! One week ago I have two wisdom teeth removed, both being on the same side of my mouth. I had an infection on my bottom wisdom tooth and was given antibiotics prior to the extraction. Since the surgery, I have had dull pain from that one...

Do I need a biopsy? Is this a mucucele?
See pics please. This is soft to the touch. Been there a few years. I thought is was a blocked saliva duct but now it has the dark area beneath it which is new. Of note. About 6 years ago a general dentist said to keep an eye on it for any...

Why Am I Missing Roots on My Wisdom Teeth?
I'm having my wisdom teeth taken out soon. I was told that none of the four wisdom teeth have roots. I even saw the x rays, and it just looked like the top of a normal molar. They have not broken through the gums yet, but they felt I needed them out...

Help! Might need wisdom teeth removal during coronavirus.
Hello so I have had jaw pain and my wisdom teeth have needed to be removed. What should I do, all oral surgeons are closed due to COVID-19. Help please I am very nervous! My jaw seems a little swollen and I am worried it might spread!

Impacted Canines
What is the procedure for impacted Canines that are at the top only for both canines and they are in the top of the gums on the outside (not in palette). I have an X-ray. ITS FOR MY DAUGHTER... 12 years old and 2 months.

Wisdom Tooth Removal, Infection?
I got my wisdom teeth removed on January 8th (it is now Jan 23) and I'm not sure if I'm healing properly. I am unable to visit my oral surgeon again, as I attend school out of state from where I had the procedure otherwise I would go in for a quick...

Underbite Worsening with Age and Correction Options
I had an underbite that orthodontists originally expected to correct itself. I got braces in 4th grade (about 9-10 years old) to correct a large gap due to two missing teeth (genetic, not caused by trauma) and then the orthodontist added a palette...