Cracks and Fillings

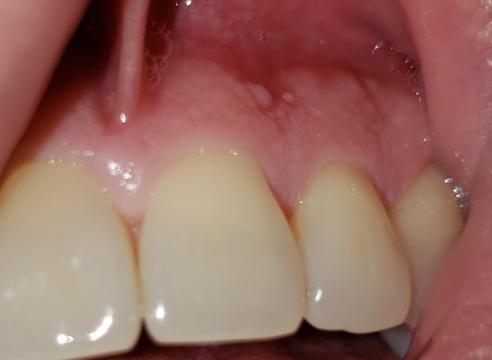
A dentist noted that there were cracks in my upper left teeth 24 and 25 (see photos attached). She suggested that their amalgam fillings be replaced with composite fillings. I have the following questions: I don't feel any pain from these two teeth. However, do old amalgam fillings cause cracks in teeth, and do composite fillings not cause cracks in teeth ? i.e. should I replace old amalgam fillings with composite fillings ? When removing an amalgam filling, will there be loss of the natural tooth material, other forms of damage and weakening of the tooth ? Should I be worried about all this ? I have read on the internet that superficial cracks in the enamel do not require treatment. Do they ? However, I am worried that such cracks will deepen. I have also read on the internet that such cracks can be repaired with composite fillings. If we use a composite filling to repair a crack, where should it be applied: just to cover up the crack and its surrounding area ? the entire occlusal surface ? or the entire surface of the tooth ? In case later , an onlay or a crown is required, will this composite filling have to be removed ?

Do you want to answer this question? Login or register now to answer this question.

No profile picture

Answer: cracks on fillings

By Sarah h
Dental Professional

When old amalgam restorations are removed, a small amount of tooth structure is lost, however it is not healthy tooth structure.  Amalgam expands and contracts at a higher rate than our natural tooth structure, that is why small cracks develop over the years.  Resin bonded fillings are bonded to the teeth and mimic our natural tooth structure with expansion and contraction.  Removing the amalgam and placing composite will not guarantee you will not ever need a crown in the future, however it will slow down the crack and hopefully prevent any further damage to the tooth.  This is a very common procedure.  Amalgam restorations also leak, so more than likely there is decay under your current fillings that needs to be removed.  The entire amalgam restoration will be removed along with any decay before placing a new resin bonded restoration back in the tooth.  If a crown is needed in the future, the composite resin would be used as a buildup in order to ensure there is enough solid tooth structure for the crown to hold onto, restoring the tooth back to full function.

More Questions from General Dental

grinding teeth

my dentist was to fill one tooth but in the process which took a long time, I have found that two of my bottom teeth where the filling was done, the dentist also grounded down two of my teeth (without telling me) and now they are shorter than the...

Hole in a filling

I had a filling done on the side of a back tooth as there was a slight hole where a filling had been done many many years ago but had come away. The dentist noticed a hairline crack so filled this hole with a white filling and didn’t need to drill...

What procedure would help fix the gap and crooked of my two front teeth?

I have been living under fear and was a victim of bullying because of my teeth. They are very unaligned....the ones that concern me the most are the two front teeth they are crooked and there is a very wide noticeable gap there. I hate it and it's...

White Bumps - Harmless or Urgent?

I just noticed 3-4 days ago that I have tiny gums colored and white bumps near the roots of my teeth but in-between the teeth (primarily on the gingiva or border between gingiva and gums). They are semi hard and painless. Some appear in clusters. I...

Military and teeth

Im planning to enlist in the military however one needs to not have any dental treatment to join. Im planning on quitting wearing my retainers so I can enlist and I alreadly notice its starting to shift back. Now I cant put both of my Jaws lined up....

I have a deep overbite.

I have had a deep bite and no dentist wants to treat it. My top front teeth completely overlaps my bottom teeth, I have issues with speaking and eating. I have developed TMJD and a trainee dentist told me there is no way that my deep bite caused...

Back gum is swollen but doesn’t hurt no infection

My gum is a little swollen but it doesn’t hurt unless I move it or press on it it’s on my last back molar. Should I be worried? I can’t afford a dentist and have no insurance but I can eat fine and drink fine. Should I be super concerned I gargled...

Is the bump on my tongue cause for concern?

Hi, my name is Sarah, and I'm a 25-year-old female. I have a bump on the lateral right side of my tongue (see picture). In diameter, I'd say it's about the size of a pencil eraser. The other side of my tongue does not look like this at all. There's...

Should I get new braces? Can’t I just get new retainer?

I used braces for one and half years, then I got the plastic clear retainer and was told to wear it every night for 6 months. But, I always forgot to wear it then when I went back to my orthodontist, he told me to wear my retainer for another 3...

What are dental sealants supposed to feel like?

I had dental sealants on my molars when I was 7, I just got them redone at 22. Unfortunately, my molars where the sealants are placed feel very chalky, not slick like the rest of my teeth.But there aren’t bite problems or sharp pieces. I’m wondering...