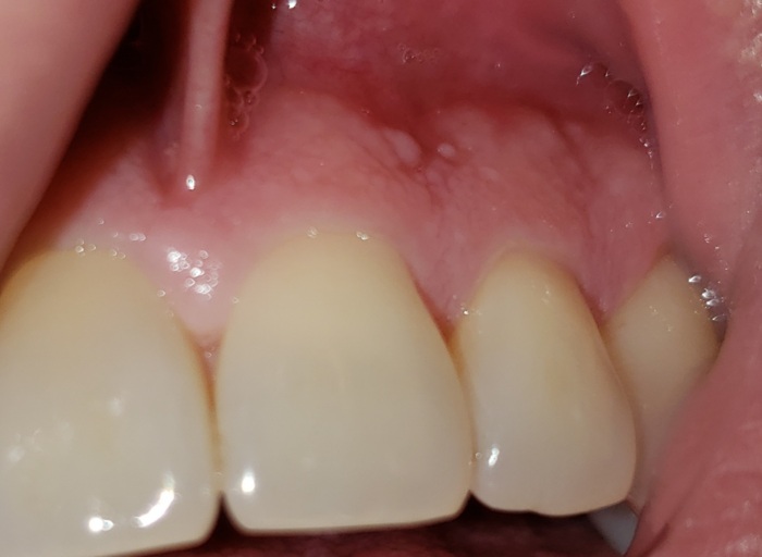
Adult Tooth (canine) Coming in Behind Baby Tooth at 21 Years Old
I have a retained canine baby tooth on my top set of teeth. I am 21 years old and at this point my adult tooth is starting to erupt behind it. I went to my dentist last year and he recommended that I pull out the baby tooth and along with braces, attach a chain to pull down the adult tooth into place. However, since I am 21 and starting my career, braces is really not a good option for my professional appearance. As well, my baby tooth is still relatively strong and doesn't show any signs of coming out (It has been about a year since my adult tooth erupted behind my baby tooth). I don't really experience pain, just mild discomfort from time to time. It doesn't bother me now, but I'm trying to think of the future when (and if) it does fall out. The adult tooth right now has barely erupted and is taking a long time (it barely grew at all in a year) to grow out, it is basically 1/4th the size of a normal tooth right now. What are the chances that if the baby tooth does fall out, the permanent adult tooth will naturally move in? The dentist I went to (about a year ago) said that it is too far to move into place naturally but I would like a second opinion. At this point my first choice is just to wait it out and see if my baby tooth will ever fall out. If it does fall out, I will just leave the adult tooth as it is without any intervention (it is quite far back, but how bad could it really look?). I have also considered (if the baby tooth falls out) to pull out my adult tooth and just get an implant in place (it would be much cheaper and convenient than getting braces for 2 years). My other option is to get invisalign or braces if all else fails. What do you think is the best route to take?
No answers so far.
Do you want to answer this question? Login or register now to answer this question.
More Questions from General Dental
 
									
				                grinding teeth
my dentist was to fill one tooth but in the process which took a long time, I have found that two of my bottom teeth where the filling was done, the dentist also grounded down two of my teeth (without telling me) and now they are shorter than the...
 
									
				                Hole in a filling
I had a filling done on the side of a back tooth as there was a slight hole where a filling had been done many many years ago but had come away. The dentist noticed a hairline crack so filled this hole with a white filling and didn’t need to drill...
 
									
				                What procedure would help fix the gap and crooked of my two front teeth?
I have been living under fear and was a victim of bullying because of my teeth. They are very unaligned....the ones that concern me the most are the two front teeth they are crooked and there is a very wide noticeable gap there. I hate it and it's...
 
									
				                White Bumps - Harmless or Urgent?
I just noticed 3-4 days ago that I have tiny gums colored and white bumps near the roots of my teeth but in-between the teeth (primarily on the gingiva or border between gingiva and gums). They are semi hard and painless. Some appear in clusters. I...
 
									
				                Military and teeth
Im planning to enlist in the military however one needs to not have any dental treatment to join. Im planning on quitting wearing my retainers so I can enlist and I alreadly notice its starting to shift back. Now I cant put both of my Jaws lined up....
 
									
				                I have a deep overbite.
I have had a deep bite and no dentist wants to treat it. My top front teeth completely overlaps my bottom teeth, I have issues with speaking and eating. I have developed TMJD and a trainee dentist told me there is no way that my deep bite caused...
 
									
				                Back gum is swollen but doesn’t hurt no infection
My gum is a little swollen but it doesn’t hurt unless I move it or press on it it’s on my last back molar. Should I be worried? I can’t afford a dentist and have no insurance but I can eat fine and drink fine. Should I be super concerned I gargled...
 
									
				                Is the bump on my tongue cause for concern?
Hi, my name is Sarah, and I'm a 25-year-old female. I have a bump on the lateral right side of my tongue (see picture). In diameter, I'd say it's about the size of a pencil eraser. The other side of my tongue does not look like this at all. There's...
 
									
				                Should I get new braces? Can’t I just get new retainer?
I used braces for one and half years, then I got the plastic clear retainer and was told to wear it every night for 6 months. But, I always forgot to wear it then when I went back to my orthodontist, he told me to wear my retainer for another 3...
 
									
				                What are dental sealants supposed to feel like?
I had dental sealants on my molars when I was 7, I just got them redone at 22. Unfortunately, my molars where the sealants are placed feel very chalky, not slick like the rest of my teeth.But there aren’t bite problems or sharp pieces. I’m wondering...
