Adult teeth still in gums

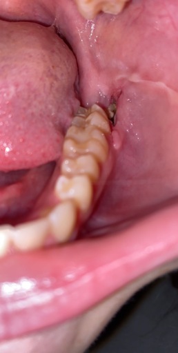
Hi, I've had my baby lateral incisor and canine teeth taken out just about a year ago. I'm 15 and I pulled them out my self because they were stubborn about a year ago , but my adult teeth haven't come in. My front teeth are a bit large so there might not be enough space for both to come out. When I went to my dentist they took an xray and they saw pieces of "bone" and my teeth. I forgot to mention that there is a large bump in that area of my gums. They sent me to a specialist, and they want to take a 3D xray, but we Dont have the money. Do you have any idea what its is? My dentist said if I get braces they might be able to pull them down. Thank you :)

Do you want to answer this question? Login or register now to answer this question.

No profile picture

Answer: Adult teeth not erupting

By Sarah h
Dental Professional

The teeth most likely did not exfoliate on their own because they were not ready. The adult teeth usually push the baby teeth out and erupt quickly after. However if the adult teeth were not preparing the primary/baby teeth for exfoliation, the primary teeth do not become loose on their own. The primary teeth serve to hold the space open for the permanent teeth, like a space maintainer. Now that they are removed, other teeth in your mouth may shift into the open space, creating a necessity for orthodontics. It is very important to have the 3D X-ray taken if the specialist suggest it. Not only because it will be needed to determine exactly where your adult teeth are and the possibility of using orthodontics to bring them into alignment, but because you don't want that mass to be a tumor or growth that can continue to get worse and affect your entire oral facial structures. I do not think that if it was just a small piece of bone you would have been sent to a specialist. The hope is that it is insignificant, however there is a good chance that bump/bone will need to be surgically removed. The sooner you can coordinate an appointment, the better. This is not a cosmetic or optional procedure and should not be treated as so. Speak with the financial coordinator at the office for suggestions on payment arrangements if needed.

More Questions from Dental Surgery

Is the a dry socket or normal healing?

got pulled 3 days ago curious whether or not it’s a dry socket isn’t into much pain I would really appreciate if someone would answer. feels normal just wondering has stitches around it. not to deep of a hole.

will my bone graft surgery help minimize my periodontal pocket?

I have a tooth that is coming out, my dentist said he will be doing a deep cleaning, a sinus lift and bone graft before he places an implant and crown. I noticed that there is spacing in that tooth and the one next to it, will the bone graft and...

Is this an infection?

I just had all 4 wisdom teeth removed 3 days ago and this is on the bottom left side and I can’t tell what it is. It is only on the left bottom side and from trying to look it up on the internet I can’t tell if it’s an infection or not.

Jaw Bone Showing After Wisdom Tooth Extraction

Hello! One week ago I have two wisdom teeth removed, both being on the same side of my mouth. I had an infection on my bottom wisdom tooth and was given antibiotics prior to the extraction. Since the surgery, I have had dull pain from that one...

Do I need a biopsy? Is this a mucucele?

See pics please. This is soft to the touch. Been there a few years. I thought is was a blocked saliva duct but now it has the dark area beneath it which is new. Of note. About 6 years ago a general dentist said to keep an eye on it for any...

Why Am I Missing Roots on My Wisdom Teeth?

I'm having my wisdom teeth taken out soon. I was told that none of the four wisdom teeth have roots. I even saw the x rays, and it just looked like the top of a normal molar. They have not broken through the gums yet, but they felt I needed them out...

Help! Might need wisdom teeth removal during coronavirus.

Hello so I have had jaw pain and my wisdom teeth have needed to be removed. What should I do, all oral surgeons are closed due to COVID-19. Help please I am very nervous! My jaw seems a little swollen and I am worried it might spread!

Impacted Canines

What is the procedure for impacted Canines that are at the top only for both canines and they are in the top of the gums on the outside (not in palette). I have an X-ray. ITS FOR MY DAUGHTER... 12 years old and 2 months.

Wisdom Tooth Removal, Infection?

I got my wisdom teeth removed on January 8th (it is now Jan 23) and I'm not sure if I'm healing properly. I am unable to visit my oral surgeon again, as I attend school out of state from where I had the procedure otherwise I would go in for a quick...

Underbite Worsening with Age and Correction Options

I had an underbite that orthodontists originally expected to correct itself. I got braces in 4th grade (about 9-10 years old) to correct a large gap due to two missing teeth (genetic, not caused by trauma) and then the orthodontist added a palette...