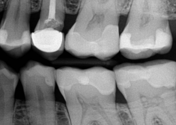
Fractured tooth with root canal and crown
I have a good set of teeth minus my top front tooth. I broke it in half on asphalt, had a temp filling for 10 years and then got a crown. The crown left my tooth hurting so eventually ended up getting a root canal. Now almost a year later at my routine exam they did x-rays and found a fracture on the tooth. The crown is not fractured but the nub of a tooth underneath is....my dentist thinks it likely fractured during the root canal procedure. Currently I have no pain or issues, but I'm wondering what the long term worse case scenario would be or what I should be looking for as a sign of deeper ongoing damage or anything else I should be looking to do now to prevent worse damage later.
Do you want to answer this question? Login or register now to answer this question.

Answer: Fractured tooth
By Sarah h
Dental Professional
Unfortunately, there are not many options for a fractured tooth. If the tooth is fractured above the bone level, many times it can be restored with a root canal and crown. The tooth may or may not require a post and buildup depending on the amount of healthy tooth structure remaining. Once the tooth has had a root canal and a fracture occurs, the long-term prognosis becomes guarded. The tooth will be monitored periodically or until symptoms arise. Depending on the depth of the fracture it could be weeks, months, or years before treatment is needed. Ultimately, the tooth will need to be removed and replaced with a dental implant, fixed bridge, or removable partial denture. The best option, if you are a candidate, is a dental implant. Most insurance plans do not cover dental implants, therefore it is a good idea to prepare financially for the procedure if necessary. Speak with your dentist about the best option for you based on your oral health, so you can be prepared if/when the time comes.
More Questions from Crowns

Proper positioning
My bottom teeth are touching against the back of my top teeth. With more pressure than normal when I close my mouth naturally. If I got crowns could it position my teeth in a way where I can close my mouth naturally with less pressure against my...

time required for crowns.
I am from out of state and planning on coming to utah to get two crowns put in. They are both on the top of my mouth. How long does it take to get the permanent crown after getting the temporary in? And can I have two crowns on the different side of...

Small teeth?
Hi! I don't know if this is the right place to come for advice lol, but okay so my back teeth are smaller than my four front teeth, and also pointy. if that makes sense? and it makes it to where i have gaps in the back on the top, noticeable too. I...

My root canal crown has fell off again after a little over a month . Now it is hurting why is that?
Hi . My crown fell off my root canal . I had the root canal done a little over a month ago . A week later the crown fell off . I went back and they put a new crown on . But now it fell off . The root canal tooth also seems to hurt in a way . Its red...

too big crown
Fist, the dentist made a temporary crown on tooth number 31. After the injection, all my jaw was numbed and even my tongue for three weeks. After these, all my tooth starts to be in pain, especially tooth number 5. I said these to the doctor, and...

Can I get dental bonding over a crown that I’m not satisfied with?
Can I do dental bonding over a crown I’m not satisfied with? I have 4 crowns on my front teeth and I they are nice but they could be better. However, I don’t want to spend money on crowns again. They’re too expensive even with insurance.

Dental Crowns
I was asked to get crown for my 3 years old's bicuspids teeth. She had a bit cavity and doctor said it will worse later. To avoid it he suggests to put crowns on two of her tooth. I was concerned if a crown will be still fit to her teeth after 3...

Cavity under crown or ill fitted crown?
I have received conflicting opinions on a tooth: one dentist said it is cavity under the crown and treatment could be crown lengthening/dental implant while other dentist said there is no cavity, it's just ill fitted crown. Is this something we can...

Bridge crown discomfort
when I wear my night guard retainer I feel an ache underneath a bridge This is a new retainer and I had not experienced this type of discomfort with my old retainer. The discomfort goes away after I remove the retainer Of note is the fact that the...

Info regarding your cost estimate
On the page titled "Average Cost & Price of Crowns and Bridges in Chicago Illinois" it's not clear to me whether this the materials and labor i.e. including the examination, preparation and cementing of the crown in place or not. i.e. is this...